The CT Clock is a simple method for estimating the onset time of ischaemic stroke using standard CT imaging.
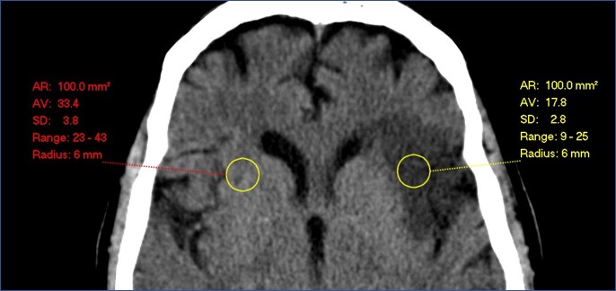
Attenuation measurements from ischaemic and normal brain are needed. These can be manually obtained with the software you already have for viewing CT:

Our method is 97% sensitive and 83% specific for correctly identifying patients with a stroke onset to CT time <4.5 hours.
We are planning a randomised-controlled trial to test if the CT Clock can identify treatment-eligible patients when CT perfusion or MRI are unavailable
